The Heteromorphic Receptacle–Juvenile Polyp

  • Editorial
  • Anubha Bajaj1,*
  • 1Consultant Histopathologist, A.B. Diagnostics, A–1, Ring Road, Rajouri Garden, New Delhi 110027, India.
  • *Corresponding author:Anubha Bajaj, Consultant Histopathologist, A.B. Diagnostics, A–1, Ring Road, Rajouri Garden, New Delhi 110027, India, Tel: +91–9811693956, 00911141446785; Email: anubha.bajaj@gmail.com.
  • Received: 22-07-2022; Accepted: 28-07-2022; Published: 11-08-2022.

Introduction

Juvenile polyp is a common paediatric intestinal polyp constituted of prominent, cystic glandular dilatation circumscribed by an inflamed stroma. Juvenile polyp demonstrating SMAD4 genetic mutations may concur with aggressive gastric polyps and emergence of gastric carcinoma. Lesion manifests focal mucosal hyperplasia with minute hyperplastic polyps commonly accompanied by inflammation, ulceration and scarring of superficial mucosal surfaces. Cystic dilatation, mucus accumulation with crypt occlusion and enlargement of cystic articulations ensues.

Juvenile polyp is a frequently discerned, paediatric intestinal polyp comprised of prominent, cystic dilatation of glandular component with encompassing stroma infiltrated by inflammatory cells. Additionally designated as retention polyp or juvenile hamartomatous polyp, colonic juvenile polyp preponderantly emerges as a solitary tumefaction. Solitary juvenile polyp exhibits minimal possible malignant metamorphosis whereas multiple juvenile polyps may indicate emergence of a premalignant condition designated as juvenile polyposis coli or juvenile polyposis syndrome [1,2]. Juvenile polyposis syndrome is denominated by

  • Presence of > 3 to 5 juvenile polyps confined to colorectal zone or
  • Occurrence of juvenile polyps throughout gastrointestinal tract or
  • Innumerable juvenile polyps accompanied by family history of juvenile polyposis
  • Representation of additional syndromes comprised of hamartomatous gastrointestinal polyps which necessitates pertinent clinical or histopathological exclusion [1,2].

Juvenile polyposis syndrome depicts an autosomal dominant mode of disease transmission and constituent polyps demonstrate germline defects within SMAD4 gene confined to chromosome18q21.1 or BMPR1A gene confined to chromosome 10q23.2 [1,2]. Juvenile polyps associated with SMAD4 genetic mutations may concur with aggressive gastric polyps and frequent emergence of gastric carcinoma [1,2]. Commonly, juvenile polyps occur between 3 years to 10 years. Sporadic juvenile polyps are infrequent prior to 2 years and exceptionally discerned in infants [1,2]. A male predominance is observed with male to female proportion of 1.4:1[1,2]. Majority of juvenile polyps appear within distal colon or recto–sigmoid zone and are uncommonly discerned within small intestine or gastric region [1,2]. Preliminary morphological alterations emerge as focal mucosal hyperplasia with consequent emergence of minute hyperplastic polyps. Frequent inflammation, ulceration and scarring of superficial mucosal surfaces of aforesaid polyps is discerned. Crypt occlusion with subsequent cystic dilatation and accumulation of mucus within crypts along with enlargement of cystic articulations engenders a typical juvenile polyp, which demonstrates possible, additional inflammation and scarring. Enlarged polyps delineate focal epithelial atypia [1,2]. Alternatively, landscape defect associated with an anomalous stromal environment may induce configuration of juvenile polyp and neoplastic transformation of adjacent epithelium [1,2]. Frequently, juvenile polyps manifest painless haematochezia. Besides, painful haematochezia, abdominal pain, chronic iron deficiency anaemia, intussusception or a prolapsed rectal mass may be exemplified. Grossly, sessile or pedunculated, classically spherical, lobulated hamartomatous polyps with erosive superficial surface and magnitude varying from 5 millimetres to 50 millimetres may appear disseminated within the colon [1,2].

Upon microscopic examination, juvenile polyp characteristically exhibits an abundant, oedematous lamina propria incorporated with inflammatory cells. Superficial mucosa is layered with cuboidal to columnar epithelium along with cystic dilatation of glandular epithelium demonstrating reactive alterations such as non–neoplastic or hamartomatous modifications and epithelial retention [1,2]. Distended glandular articulations appear pervaded with mucus along with inspissation of debris and inflammatory cells [1,2].

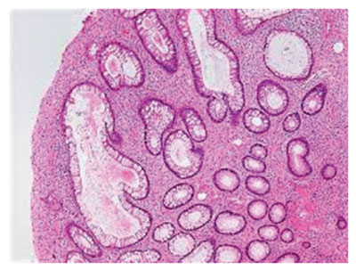
Figure 1: Juvenile polyp demonstrating cystic dilatation of glandular articulations, superimposed layer of columnar epithelium and circumscribing stroma infiltrated by chronic inflammatory cells [5].

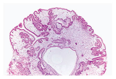
Figure 2: Juvenile polyp depicting cystic dilatation of glandular articulations layered with mucus-secreting columnar epithelium and an encompassing stroma infiltrated with chronic inflammatory cells and focal red cell extravasation [6].

Juvenile polyps demonstrating high grade dysplasia or polyps constituting juvenile polyposis syndrome are immune reactive to p53 as TP53 genetic mutations accompany the neoplasms [3,4]. Benign, solitary juvenile polyps devoid of dysplastic alterations appear immune non reactive to p53 [3,4].

Juvenile colonic polyp requires segregation from conditions such as Cronkhite–Canada syndrome, hyperplastic polyp, inflammatory polyp, Peutz–Jeghers syndrome, tubular adenoma, pseudo–polyps, juvenile polyposis syndrome, familial polyposis coli, Turcot syndrome or Cowden syndrome [3,4]. Colonoscopy is an optimal investigative modality for appropriate discernment of juvenile polyp [3,4]. Additionally, capsule endoscopy may e adopted. Upon endoscopic examination, a sessile or pedunculated polyp may be observed. Genetic assessment and screening colonoscopy is recommended for evaluating juvenile polyposis syndrome [3,4]. Various imaging techniques can be employed to assess juvenile polyp. Barium enema demonstrates a filling defect or spherical, hypoechoic, luminal nodule along with peripheral, hyperechoic layer [3,4]. Juvenile polyp is associated with minimal possible emergence of malignant metamorphosis. Syndromic lesions accompanying juvenile polyposis syndrome depict enhanced possibility of malignant transition [3,4]. Solitary or multiple juvenile polyps frequently demonstrate a tendency for reoccurrence [3,4]. Spontaneous amputation of juvenile polyps is encountered on account of decimated vascular perfusion and consequent ischaemia. Solitary juvenile polyp can be subjected to colonoscopy or sigmoidoscopy with polypectomy following which additional monitoring appears superfluous [3,4]. Juvenile polyps depicting adenomatous change can optimally be monitored and subjected to screening endoscopy [3,4]. Juvenile polyposis syndrome can be managed with endoscopic screening of colon and upper gastrointestinal tract upon emergence of clinical symptoms or at 15 years. Cogent monitoring is recommended at 2 years to 3 years [3,4]. Surgical intervention is necessitated in subjects with colorectal polyposis with >50 polyps which are unamenable to therapy with endoscopic manoeuvers, instances associated with severe gastrointestinal haemorrhage or diarrhoea, juvenile polyps demonstrating dysplasia and individuals displaying a strong family history of colorectal carcinoma [3,4].

Conclusion

Juvenile polyp requires segregation from hyperplastic polyp, inflammatory polyp, Peutz–Jeghers syndrome, tubular adenoma, pseudo–polyps, juvenile polyposis syndrome, familial polyposis coli, Turcot syndrome or Cowden syndrome. Colonoscopy or capsule endoscopy is an optimal modality for evaluation of juvenile polyp. Solitary juvenile polyp can be suitably managed with colonoscopy or sigmoidoscopy with polypectomy.

Acknowledgements

None.

Conflict of Interest

Author declares there is no conflict of interest.

References

  1. Dong J, Ma TS et al. Characteristics and potential malignancy of colorectal juvenile polyps in adults: a single–centre retrospective study in China. BMC Gastroenterol. 2022;22(1):75.
  2. Meseeha M, Attia M. Colon Polyps. Stat Pearls International 2022, Treasure Island, Florida.
  3. Ibrahimi N, Septer SS et al. Polyp characteristics of nonsyndromic and potentially syndromic juvenile polyps: a retrospective cohort analysis. J Pediatr Gastroenterol Nutr. 2019;69(6):668–672.
  4. Click B, insky PF et al. Association of Colonoscopy Adenoma Findings With Long–term Colorectal Cancer Incidence. JAMA. 2018;319(19):2021–2031.
  5. Image 1 Courtesy: Libre pathology
  6. Image 2 Courtesy: Pathpedia.com